

(记者 徐睿捷 通讯员 裴霓裳)湖北咸宁54岁的刘女士(化名)因多年忽视眼部反复不适,不仅左眼拖延至失明,右眼也合并角膜白斑、白内障等多重眼病,裸眼视力仅0.04。好在经湖北爱尔眼科医院多学科专家联合诊治,成功改善右眼视力。

家住湖北咸宁的刘女士,左眼自幼便被眼红眼痛、视物模糊的问题困扰。多年来,左眼眼痛症状反复发作,可她始终未重视,从未到正规医院接受系统诊治,任由病情持续进展,最终左眼不幸失明。
2025年12月上旬,刘女士左眼眼红眼痛症状突然加重,她先在当地医院接受对症治疗,症状缓解后,为求进一步精准诊疗,专程前往湖北爱尔眼科医院就诊。初步检查发现,其右眼裸眼视力仅0.04,左眼已完全无光感。
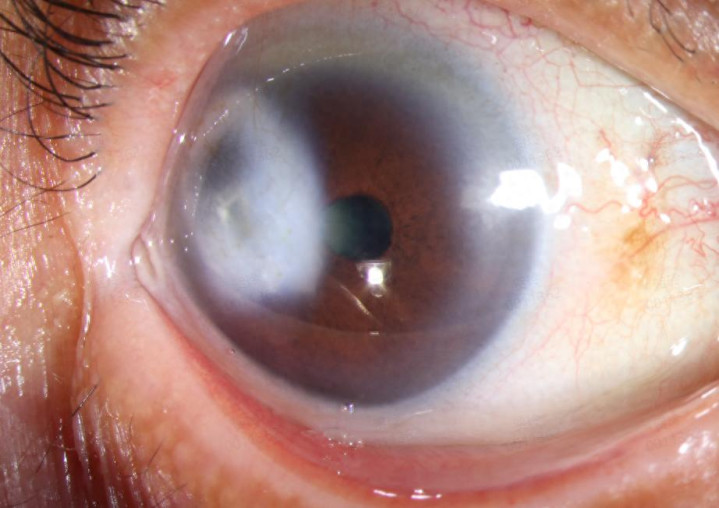
该院眼睑眼眶/眼整形美容专科副主任医师杜芳进一步为刘女士开展详细检查,结果显示:她左眼巩膜存在数个溶解灶葡萄肿,右眼角膜颞侧有大片白斑,且伴随晶状体混浊。最终确诊为左眼角膜葡萄肿,右眼则合并角膜白斑、虹膜前粘连、白内障等多种眼病。
考虑到刘女士病情涉及多类眼病,医院随即组织眼睑眼眶/眼整形美容专科、眼表及角膜专科、白内障与老视专科多学科专家会诊。专家团队综合评估后认为,左眼已无光感且角膜葡萄肿病情危急,需优先实施眼球摘除手术控制病情,待左眼恢复稳定后,股票配资炒股再推进右眼的治疗计划。
2025年12月中旬,刘女士顺利接受了左眼眼球摘除手术,术后恢复情况良好。1月中旬,病情稳定后,她再次来到湖北爱尔眼科医院,针对右眼问题寻求进一步治疗。综合验光结果显示,其右眼近视度数高达1300度,即便佩戴矫正眼镜,视力也仅能达到0.05。结合检查结果,专家发现其右眼角膜白斑位置偏中心,建议先开展白内障手术,术后根据视力恢复情况,再制定后续针对性治疗方案。
上周,白内障与老视专科主任医师周莉带领团队,为刘女士实施全身麻醉,成功开展右眼超声乳化白内障手术及人工晶体一期植入术。刘女士康复出院时,右眼视力已从术前的0.04提升至0.25,视物清晰度显著改善,生活质量有望进一步提高。
“很多眼病早期症状虽不剧烈,但进展隐匿,拖延可能导致病情恶化,甚至造成永久性视力损伤。”湖北爱尔眼科医院白内障与老视专科主治医师施明慧提醒广大市民,眼部出现眼红眼痛、视物模糊等不适时,切勿拖延或自行简单处理,务必及时前往正规医院眼科就诊,明确病因后针对性治疗。
垒富优配提示:文章来自网络,不代表本站观点。